Connectez-vous
S'inscrire
Accueil
Actu
Actu
Biologie
Blanchisserie
Imagerie
eSanté
Hygiène
Sûreté
Restauration
Traçabilité
Pharmacie
PHW 2018
Mag en ligne
Hospitalia TV
Abonnement
Abonnement
Version papier
Version numérique
Contact
Abonnez-vous à la newsletter Hospitalia
MENU
Accueil
Mag en ligne
Hospitalia TV
Abonnement
Agenda
Contact
Rechercher
Le magazine de l'innovation hospitalière
ACCUEIL
ACTUALITÉS
ACTU
RSE
BIOLOGIE
BLANCHISSERIE
HYGIÈNE
IMAGERIE
RESTAURATION
SIS
SÛRETÉ
TRAÇABILITÉ
PHARMACIE
HOSPITALIA TV
HOSPITALIA TV
ACTU
BLANCHISSERIE
IMAGERIE
HYGIÈNE
LOGISTIQUE
PHARMACIE
SIS
SANTEXPO 2025
HWL 2025
MAG EN LIGNE
ABONNEMENT
AGENDA
CONTACT
Résultats recherche
Tags (95) : imagerie
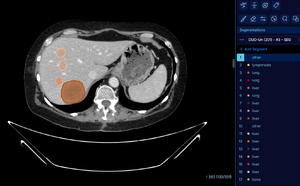
À Gustave Roussy, un nouvel outil d'IA au service d'une détection optimale du cancer par imagerie
Rédaction | 07/04/2026
|
Actu
Gustave Roussy, dans le cadre d’un consortium réunissant des industriels et le CHU d’Angers, a participé au développement d’un outil d’intelligence artificielle capable d’identifier automatiquement, à partir d’un scanner thoraco-abdomino-pelvien, les lésions cancéreuses présentes dans cette zone,...
Angers
,
cancer
,
CHU
,
CLCC
,
coupe
,
Gustave
,
IA
,
imagerie
,
Roussy
Le CHU de Nîmes lance un projet innovant pour une imagerie médicale plus pertinente et participative
Rédaction | 07/04/2026
|
Imagerie
Face à l’augmentation continue du recours à l’imagerie médicale et aux risques liés aux examens non pertinents (exposition inutile aux rayonnements, allongement des délais, surcoûts), le CHU de Nîmes et l’ARS Occitanie s’engagent dans un nouveau projet : « Pertinence en imagerie : informer, former...
ARS
,
CHU
,
imagerie
,
Nîmes
,
occitane
,
territoire
Soins éco-responsables : l'Anap renforce son action
Rédaction | 01/04/2026
|
RSE
Fin mars, l’Anap a présenté les prochaines étapes de son action pour généraliser les soins éco‑responsables, dans le cadre de la feuille de route nationale sur la transition écologique du système de santé. Fort du succès de ses premiers outils - dont le référentiel national pour un bloc opératoire...
anap
,
bloc
,
Ceres
,
coresponsables
,
développement
,
durable
,
imagerie
,
opératoire
,
RSE
,
SFR
,
soins
L’IA au service de l’amélioration des diagnostics aux urgences pédiatriques du CHU de Nantes
Rédaction | 25/03/2026
|
SIS
Le CHU de Nantes publie les résultats d’une étude innovante démontrant l’apport décisif de l’intelligence artificielle (IA) dans le diagnostic des fractures du coude chez l’enfant. Menée auprès de 755 jeunes patients et publiée dans le European Journal of Radiology, cette étude confirme qu’un...
artificielle
,
CHU
,
expertise
,
IA
,
imagerie
,
images
,
innovation
,
intelligence
,
lecture
,
Nantes
,
technologie
Le CHU de Lille et le CH de Roubaix étoffent leur offre d’imagerie publique
Rédaction | 25/03/2026
|
Imagerie
Le CHU de Lille et le Centre Hospitalier de Roubaix, tous deux membres du Groupement Hôpitaux Publics Grand Lille, proposent depuis plusieurs mois une offre élargie de radiologie publique au bénéfice des patients de la métropole. Ce nouveau Plateau d’Imagerie Médicale Mutualisé (PIMM) expérimenté...
CH
,
CHU
,
collaborations
,
imagerie
,
Lille
,
mutualisation
,
mutualité
,
parcours
,
PIMM
,
plateau
,
Roubaix
,
synergies
,
territoires
Cancers digestifs : trois nouveaux essais cliniques au CHU de Nantes transforment la prise en charge grâce à l’imagerie
Rédaction | 11/02/2026
|
Imagerie
Mieux voir, mieux comprendre, mieux traiter. Tel est l’objectif du programme de recherche hospitalo-universitaire (RHU) OPERANDI, porté par l’AP-HP, qui place l’imagerie au cœur de la lutte contre certains cancers digestifs. Le CHU de Nantes y coordonne trois essais cliniques qui mettent l’imagerie...
CHU
,
imagerie
,
innovation
,
médicale
,
Nantes
,
technologie
Les radiologues alertent à l’unisson: il faut préserver l’accès aux soins pour tous!
Rédaction | 17/11/2025
|
Imagerie
"Tous les radiologues, hospitaliers et libéraux, fédérés au sein du Conseil National Professionnel de la Radiologie (CNP G4), sont très préoccupés par le débat parlementaire actuel instaurant la possibilité règlementaire de décider chaque année de baisses tarifaires de certains actes de radiologie...
G4
,
imagerie
,
radiologie
,
réaction
,
soins
Améliorer l’accès à l’imagerie diagnostique sur le territoire francilien : l’ARS Île-de-France délivre 345 autorisations d’IRM et de scanners sur 293 sites
Rédaction | 29/10/2025
|
Imagerie
L’Agence régionale de santé (ARS) Île-de-France a notifié les décisions d’autorisations d’imagerie diagnostique à 293 sites d’implantation, pour un total de 872 équipements matériels lourds désormais autorisés. Avec 22 nouvelles implantations (+7,5 %), les Franciliennes et Franciliens bénéficieront...
accès
,
ARS
,
IDF
,
Île-de-France
,
imagerie
,
IRM
,
scanner
,
soins
En reliant l’IA aux pratiques cliniques, Dedalus fait la différence en imagerie médicale
Joëlle Hayek | 03/10/2025
|
Imagerie
Acteur majeur européen de la santé numérique, Dedalus a fait de l’imagerie médicale un axe stratégique prioritaire. En France, le groupe a structuré une Business unit (BU) dédiée et lancé une nouvelle génération de solutions intégrant pleinement les technologies d’intelligence artificielle. Parmi...
Dedalus
,
e-santé
,
IA
,
imagerie
,
innovation
,
PACS
,
RIS
,
technologie
Dedalus et les Hospices Civils de Lyon s’associent pour transformer l’imagerie médicale avec la solution DeepUnity
Rédaction | 01/10/2025
|
Imagerie
Le groupe Dedalus, acteur européen majeur de solutions logicielles en santé, et les Hospices Civils de Lyon (HCL) scellent un partenariat stratégique de plus de dix ans pour le déploiement du PACS (Picture Archiving and Communcation System) étendu DeepUnity. Objectif : faire de l’imagerie médicale...
Dedalus
,
DeepUnity
,
HCL
,
imagerie
,
PACS
Le PIMM, pour améliorer la qualité et la rapidité des examens
Aurélie Pasquelin | 01/10/2025
|
Imagerie
Afin de faciliter l’accès aux examens d’imagerie et d’en garantir la qualité, les Hôpitaux du Hainaut-Cambrésis ont mis en place un Plateau d’imagerie médicale mutualisé (PIMM). Soutenu par l’ARS, ce dispositif fédère des ressources et expertises via une plateforme publique de téléradiologie,...
CH
,
imagerie
,
mutualisation
,
mutualiste
,
PIMM
,
plateau
,
territoire
,
Valenciennes
Ouverture de l’IRCAD North America à Charlotte, en Caroline du Nord : formation, recherche et innovation chirurgicales
Rédaction | 01/10/2025
|
Actu
Fondé à Strasbourg, France, en 1994 par le Professeur Jacques Marescaux, l’IRCAD a officiellement inauguré l’IRCAD North America à Charlotte. Avec ce 9e institut, l’IRCAD contribue davantage au développement de la formation, de la recherche et de l’innovation chirurgicales dans le monde, en...
chirurgie
,
excellence
,
imagerie
,
IRCAD
,
robotique
Catel publie la première partie de son livre blanc sur l'IA en imagerie médicale
Rédaction | 31/08/2025
|
Imagerie
La première version du Livre Blanc "Le déploiement de l'IA en imagerie médicale : de la promesse à la pratique – Problématiques d’intégration et modèle économique" est officiellement publiée. Fruit d'une collaboration inédite entre experts du secteur coordonné par Catel et en partenariat avec des...
blanc
,
cartel livre
,
IA
,
imagerie
Vers imagerie inclusive et écoresponsable: l’engagement technologique de Fujifilm Healthcare
Rédaction | 09/06/2025
|
Imagerie
Autrefois emblématique dans l’univers de la photographie, le constructeur Fujifilm s’est imposé comme un acteur incontournable de l’imagerie médicale. Cette transition réussie témoigne d’une stratégie visionnaire où l’innovation technologique se met au service de la santé, avec une volonté affirmée...
développement
,
durable
,
écoresponsable
,
Fujifilm
,
imagerie
,
innovation
Référencement stratégique de Konica Minolta à l’UniHA : les hôpitaux accèdent enfin à la technologie révolutionnaire de radiographie numérique dynamique DDR
Rédaction | 23/04/2025
|
Imagerie
Konica Minolta, fournisseur de référence du secteur de la santé en France, annonce son référencement auprès de l’UniHA, le groupement d’achat des hôpitaux publics et premier acheteur public dans le secteur de la santé. Grâce à cette nouvelle collaboration, la technologie innovante de radiographie...
imagerie
,
innovation
,
Konica
,
technologie
IABM 2025 - Colloque Français d'Intelligence Artificielle en Imagerie Biomédicale
Rédaction | 11/03/2025
|
Imagerie
Le 3ème Colloque Français d’Intelligence Artificielle en Imagerie Biomédicale (IABM) se tiendra à Nice les 17 et 18 Mars 2025, au Palais de la Méditerranée. Ce colloque a pour objectif de faire le point sur les avancées méthodologiques en intelligence artificielle appliquée à l’imagerie biomédicale...
biomédical
,
Colloque
,
IA
,
imagerie
,
innovation
,
INRIA
,
recherche
,
technologie
IMAGINE 2025 : le nouveau rendez-vous pour penser l’avenir de la radiologie
Rédaction | 04/03/2025
|
Imagerie
La Fédération Nationale des Médecins Radiologues (FNMR) annonce le lancement d’IMAGINE 2025, un événement inédit dédié aux enjeux professionnels de la radiologie, et qui se tiendra le vendredi 20 juin à Paris. IMAGINE 2025 rassemblera des experts de divers horizons pour débattre du rôle...
fédération
,
FNMR
,
imagerie
,
IMAGINE
,
médecins
,
radiologues
,
rendez-vous
Ségur numérique : la transformation continue avec la vague 2
Rédaction | 04/03/2025
|
SIS
Après une première phase réussie, le Ségur numérique entre dans une nouvelle dynamique avec cette nouvelle étape de la vague 2, qui vise à renforcer l’usage effectif du numérique dans le quotidien des professionnels de santé et des patients. Le Ségur numérique a pour ambition de généraliser le...
DRIMbox
,
e-santé
,
imagerie
,
médecine de ville
,
MSSanté
,
numérique
,
ordonnance
,
Ségur
,
SIH
,
SIS
,
vague 2
« Dedalus s’impose aujourd’hui comme un partenaire agile et dynamique »
Joëlle Hayek | 08/01/2025
|
SIS
Marquée de nombreux jalons, l’année 2024 a permis à Dedalus, opérateur européen leader en santé numérique, d’asseoir encore plus une stratégie pensée pour répondre aux besoins des établissements de santé français. Placée sous le signe d’une convergence accélérée, mais aussi d’un soutien réaffirmé à...
biologie
,
Care4U
,
convergence
,
D4
,
Dedalus
,
DPI
,
DxCare
,
e-santé
,
FHIR
,
Frédéric
,
IA
,
imagerie
,
innovation
,
laboratoire
,
SIH
,
SIS
,
Vaillant
Trajectoire(s) aux rayons X : une deuxième saison en préparation
Rédaction | 02/10/2024
|
Actu
Entre novembre 2023 et mars 2024, la SFR Junior, commission « Jeunes » de la Société française de radiologie, diffusait la première saison de son podcast Trajectoire(s) aux rayons X. Un projet né à l’initiative du Docteur Alice Le Berre, neuroradiologue au GHU Paris Psychiatrie & Neurosciences...
imagerie
,
jeunes
,
juniors
,
personnalités
,
podcast
,
radiologie
,
SFR
1
2
3
4
5
Le #72 - Février 2026
Articles les + lus
L’Hôpital Foch mise sur l’IA pour soigner et innover
07/04/2026
Piloter la performance par la Data : l’Anap lance une offre globale
17/03/2026
Imaginer le futur de la santé : lancement d’OSE 2050, un programme d’anticipation inédit associant experts, professionnels de santé et citoyens
25/03/2026
Clevernet, « un vent de modernité » pour le CH Princesse Grace
18/03/2026
Intelligence Artificielle et Médecine : la partie est-elle vraiment perdue ?
30/03/2026
Agenda
Mercredi 3 Juin
Le 36ème Congrès de la SF2H aura lieu à Lille du 3 au 5 juin 2026 (au 05/06/2026)
Vendredi 5 Juin
3e édition du Congrès Santé en 2050 (au 06/06/2026)
Mercredi 17 Juin
Les 66e Journées d'étude et de formation des Ingénieurs Hospitaliers de France (au 19/06/2026)
CONTACT
HOSPITALIA
Immeuble Newquay B / B35
13 rue Ampère
35800 Dinard
Tél : 02 99 16 04 79
Email :
contact@hospitalia.fr
Abonnement :
abonnement@hospitalia.fr
TAGS
IA
CHU
santé
e-santé
RSE
imagerie
numérique
durable
innovation
soins
anap
synergies
biologie
CH
CLCC
data
développement
Nantes
pharmacie
SIS
Tweets by Hospitalia_Mag
Mentions légales
Publicité
Soumettre un article