Actuellement, l’évaluation de l’efficacité des traitements prescrits aux patients atteints de cancer repose sur les critères RECIST. Ce référentiel international standardisé est fondé sur la mesure d’un nombre limité de lésions dites cibles (jusqu’à cinq au total, avec un maximum de deux par organe). Ces lésions sont sélectionnées pour être représentatives de la maladie du patient, et la réponse thérapeutique est déterminée en comparant l’évolution de leurs dimensions au cours du traitement.
Cette approche a cependant ses limites. Certains patients présentent un très grand nombre de lésions, parfois plusieurs centaines. Celles-ci peuvent être réparties sur différents organes, ce qui rend difficile de représenter fidèlement le cancer à partir d’un nombre limité de cibles.
À l’heure de la médecine de précision, où une caractérisation toujours plus fine et exhaustive des tumeurs est nécessaire pour adapter au mieux les stratégies thérapeutiques, l’évaluation globale de la charge tumorale constitue un enjeu central. Celle-ci correspond à l’ensemble des lésions cancéreuses identifiables sur les examens d’imagerie de référence, en particulier le scanner thoraco-abdomino-pelvien, qui explore les principaux sites métastatiques des cancers solides. Ainsi, la charge tumorale vise à refléter le plus fidèlement possible l’étendue totale de la maladie dans les zones analysées.
Un partenariat académique-industriel
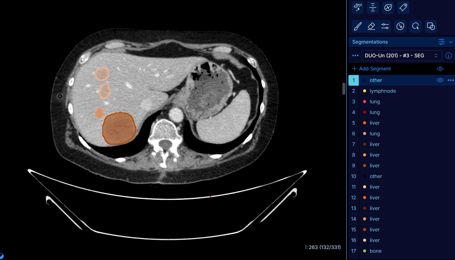
Pour répondre à cet enjeu, Gustave Roussy a participé au développement d’un outil d’intelligence artificielle capable de mesurer la charge tumorale des patients à partir d’un examen d’imagerie, dans le cadre d’un consortium composé de Guerbet, d’Intrasense et du CHU d’Angers, avec le soutien de BPI France et du programme France 2030. Cet outil, baptisé DuOnco Unity, repose sur un algorithme d’IA à même de détecter automatiquement et en trois dimensions l’ensemble des tumeurs et des métastases visibles sur un scanner thoraco-abdomino-pelvien. Cette analyse permet de mesurer la charge tumorale réelle des patients dans cette zone et de générer des indicateurs pour prédire l’évolution de la maladie.
DuOnco Unity, à la fois multi-organes et multi-anatomique, est un outil unique au monde. Il fonctionne sur l’ensemble du thorax, de l’abdomen et du pelvis, et est également capable d’analyser les ganglions lymphatiques, une fonctionnalité rare et particulièrement utile puisqu’ils représentent l’un des principaux sites métastatiques. Enfin, il intègre la masse musculaire et les tissus adipeux dans ses comptes rendus, des indicateurs importants pour établir un diagnostic précis en oncologie.
Des délais d’analyse très courts
Le développement de cet outil a nécessité l’annotation de près de 287 000 lésions afin d’entraîner l’algorithme. Il a été pensé pour s’intégrer le plus naturellement possible dans l’univers de travail des radiologues, avec une interface simple pour faciliter son déploiement et son adoption en France et à l’étranger. Les données sont hébergées localement afin d’éviter leur export vers des serveurs extérieurs.
Autre avantage important : DuOnco Unity peut analyser aussi bien des scanners récents que des examens plus anciens, même lorsqu’ils ont été réalisés sur des machines dépourvues d’outils d’intelligence artificielle. Cela permet de réévaluer des images déjà acquises et d’enrichir le suivi des patients sur le long terme.
DuOnco Unity délivre ses résultats en seulement 3 à 15 minutes, alors qu’une analyse tridimensionnelle complète de toutes les lésions constitue habituellement une tâche particulièrement lourde, complexe et peu compatible avec la pratique clinique courante si elle est réalisée manuellement. Cet outil n’a cependant pas pour objectif de se substituer au radiologue : l’expertise d’un spécialiste demeure essentielle pour valider les données obtenues et les interpréter à la lumière du contexte clinique propre à chaque patient.
En attendant son marquage CE, l’outil est déjà accessible sous forme de prototype en cours de validation à Gustave Roussy, et il est mobilisé dans deux grandes études cliniques :
- L’étude IMPACT, qui vise à prédire, grâce à la détection par IA de la charge tumorale, la survie sans progression de la maladie et la survie globale de 600 patients atteints de cancers du poumon et de mélanomes.
- L’étude LIFE, qui entend évaluer l’impact de DuOnco Unity sur la pratique clinique quotidienne des médecins.
Un enjeu majeur en oncologie de précision
L’évaluation précise de la charge tumorale ouvre la voie à une meilleure personnalisation des traitements. Elle permet d’adapter plus précocement une thérapie lorsqu’elle se révèle efficace ou, au contraire, d’interrompre rapidement un traitement inefficace afin d’éviter des effets indésirables inutiles et de proposer sans délai une alternative thérapeutique. Elle facilite également l’identification de signes précoces de résistance.
Contrairement aux critères RECIST, qui reposent sur la mesure unidimensionnelle d’un nombre limité de lésions cibles, la quantification de la charge tumorale prend en compte l’ensemble des lésions et leur volume réel. Elle offre ainsi une vision plus fidèle et plus objective de l’évolution de la maladie. En apportant cette mesure fine et exhaustive, ces approches contribuent à transformer en profondeur la manière dont les cancers sont évalués et suivis.
« Avec DuOnco Unity, nous changeons d’échelle dans l’analyse de l’imagerie en oncologie. Nous pouvons désormais appréhender la maladie dans sa globalité, en analysant en trois dimensions l’ensemble des lésions visibles sur un scanner. Concrètement, pour les radiologues, cela signifie un gain de temps considérable et une aide précieuse pour objectiver et standardiser l’évaluation de la charge tumorale. Pour les oncologues, c’est la possibilité de disposer d’indicateurs beaucoup plus complets et plus fins pour évaluer l’efficacité d’un traitement. Cette innovation marque une évolution majeure de notre pratique clinique : elle nous permet de passer d’une estimation partielle à une vision globale, quantitative et reproductible de la maladie. C’est une avancée concrète au service d’une médecine de précision toujours plus personnalisée, avec un objectif clair : améliorer la prise en charge des patients », conclut la Pr Nathalie Lassau, radiologue au sein du département d’imagerie de Gustave Roussy et spécialiste internationale de l’intelligence artificielle appliquée à la radiologie.
> Les explications de Jules Dupont, chef du projet DuOnco en vidéo : https://youtu.be/Ws2iPMnQuxk










