Lancé à la fin de l’année 2020 et prévu pour une durée de quatre ans, le projet Disrumpere porte bien son nom qui, en latin, signifie « disruptif », synonyme de rupture. Nommé ainsi pour « Democratization of automatic diagnosis, screening, biometrics and augmented percutaneous surgery assisted by artificial intelligence » [soit « démocratisation du diagnostic automatique et de la chirurgie percutanée augmentée assistée par l'IA »], il vise en effet à développer l'échographie et la chirurgie percutanée augmentées par l'intelligence artificielle (IA), afin de « créer une alternative peu chère, non invasive et portable à la machinerie médicale lourde ». Porté par l'Institut de recherche contre les cancers de l'appareil digestif (IRCAD), Disrumpere dispose d'un budget de 4,8 millions d'euros et mobilise 25 chercheurs qui collaborent avec quinze cliniciens et quatre universités. Il est également co-développé avec les équipes de l’IRCAD Africa, dont le bâtiment devrait être prochainement achevé à Kigali, la capitale du Rwanda.
Répondre à des besoins réels
Cette collaboration n’est pas due au hasard puisque le projet cherche avant tout à démocratiser l’accès à l’imagerie médicale, et ce notamment dans les déserts médicaux. « Au Rwanda, par exemple, le pays ne compte que sept médecins radiologues », indique le Professeur Jacques Marescaux, fondateur de l’IRCAD de Strasbourg. « Les besoins de la population sont donc bien réels. Mais la France elle-même n’est pas en reste, avec également des déserts médicaux, ou plus simplement pour pouvoir réaliser des examens au lit du patient ou directement dans des établissements spécialisés comme les EHPAD », complète le Docteur Benoît Sauer, radiologue participant au projet. Afin de limiter le coût des équipements, mais aussi offrir une meilleure portabilité et une rapidité plus importante, les chercheurs de la Surgical data science team de l’IRCAD ont ici fait le choix de l’échographie.
L’IA, une technologie d’avenir
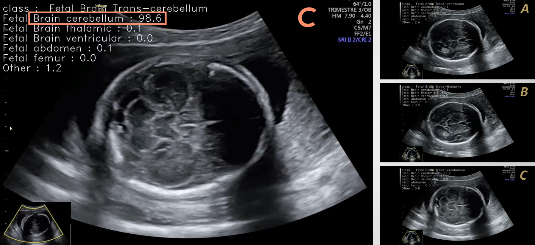
« L'échographie a certains avantages : c'est une modalité non invasive, fonctionnant sans rayons X. Elle est en outre de plus en plus portable, et voit ses prix considérablement baisser », complète le radiologue, en précisant qu’il existe « de très bons imageurs pour quelques milliers d'euros seulement », et « même 500 euros » pour un dispositif ultraportable d'imagerie par ultrasons, mis au point par une start-up. Il n’est dès lors guère étonnant que ce soit cette modalité qui ait attiré l’attention des porteurs du projet Disrumpere : leurs travaux visent à y implémenter de l’intelligence artificielle, afin de doper l’usage actuel des échographes en apportant notamment une aide au diagnostic. « Ces nouveaux algorithmes vont pouvoir détecter les pathologies les plus standards, localisées dans le rein, dans le foie », précise Alexandre Hostettler, responsable de l'équipe Surgical data science.
Pour les scientifiques, la démocratisation de l’imagerie médicale passera aussi par la standardisation et l’automatisation de tâches nécessitant actuellement l’intervention de personnes très qualifiées. Or, « leur formation est chère et demande du temps. En simplifiant l’utilisation des machines et en y intégrant une partie du savoir, de l’expertise radiologique, on gagne beaucoup de temps », ajoute Benoît Sauer. « L’échographie augmentée permet d’automatiser tout le processus de manière qualitative et contrôlée », complète Alexandre Hostettler.
Pour les scientifiques, la démocratisation de l’imagerie médicale passera aussi par la standardisation et l’automatisation de tâches nécessitant actuellement l’intervention de personnes très qualifiées. Or, « leur formation est chère et demande du temps. En simplifiant l’utilisation des machines et en y intégrant une partie du savoir, de l’expertise radiologique, on gagne beaucoup de temps », ajoute Benoît Sauer. « L’échographie augmentée permet d’automatiser tout le processus de manière qualitative et contrôlée », complète Alexandre Hostettler.
Vers la radiologie interventionnelle
Outre l’aide au diagnostic et l’enrichissement des images échographiques, le projet Disrumpere prévoit également de recourir à l’IA pour robotiser le geste et le positionnement des aiguilles thérapeutiques. Utilisée pour la réalisation de biopsies ou la destruction de tumeurs malignes, ce type de chirurgie est ici assisté par un logiciel intelligent, capable de détecter la position des tumeurs de manière automatisée. Le logiciel offre également la possibilité de calculer, en temps réel, la quantité d'aiguilles nécessaires ainsi que les trajectoires à suivre pour détruire les tumeurs. Pour aller plus loin, les équipes des IRCAD de Strasbourg et de Kigali travaillent sur l’automatisation complète des procédés avec l’intervention, à plus long terme, de bras robotiques à bas coût, « qui tiendraient l’aiguille ». Pour l’instant à l’étape de projet, cette dernière étape « est possible », assure le Pr Jacques Marescaux, plus que jamais convaincu que « le futur de la chirurgie passe par l’automatisation des procédés ».
Une coopération entre la France et le Rwanda
Présent dans six pays, l’IRCAD a ouvert plusieurs « instituts miroirs » possédant différents modèles, mais basés sur un même principe : « Les partenaires se chargent de les financer et de les construire, mais nous gardons la responsabilité totale du contenu scientifique et de l’enseignement », assure le Pr Jacques Marescaux. En 2022, l’IRCAD Africa inaugurera ainsi un centre de 7 000 m2 situé sur treize hectares, avec un auditorium pour les visioconférences et 18 tables d’opération dédiées à la formation pratique de la chirurgie laparoscopique. Nécessitant un budget de plusieurs millions d’euros, la construction de ce bâtiment est entièrement assumée par l’État rwandais, qui apportera également 150 000 euros par an et financera la moitié des salaires des cinq premiers ingénieurs. Le reste restera à la charge de l’IRCAD, qui bénéficie ici de l’aide d’industriels privés. Situé dans la capitale rwandaise, à Kigali, le lieu devrait accueillir 40 développeurs d’ici 2023, « afin de renforcer l'équipe strasbourgeoise de Surgical data science », indique le Pr Jacques Marescaux, précisant d’ailleurs que l’IRCAD peine à trouver « des chercheurs dans ce domaine en Europe ». En attendant ces recrutements, la quinzaine de chercheurs rwandais travaille d’ores et déjà avec l’équipe strasbourgeoise.
Présent dans six pays, l’IRCAD a ouvert plusieurs « instituts miroirs » possédant différents modèles, mais basés sur un même principe : « Les partenaires se chargent de les financer et de les construire, mais nous gardons la responsabilité totale du contenu scientifique et de l’enseignement », assure le Pr Jacques Marescaux. En 2022, l’IRCAD Africa inaugurera ainsi un centre de 7 000 m2 situé sur treize hectares, avec un auditorium pour les visioconférences et 18 tables d’opération dédiées à la formation pratique de la chirurgie laparoscopique. Nécessitant un budget de plusieurs millions d’euros, la construction de ce bâtiment est entièrement assumée par l’État rwandais, qui apportera également 150 000 euros par an et financera la moitié des salaires des cinq premiers ingénieurs. Le reste restera à la charge de l’IRCAD, qui bénéficie ici de l’aide d’industriels privés. Situé dans la capitale rwandaise, à Kigali, le lieu devrait accueillir 40 développeurs d’ici 2023, « afin de renforcer l'équipe strasbourgeoise de Surgical data science », indique le Pr Jacques Marescaux, précisant d’ailleurs que l’IRCAD peine à trouver « des chercheurs dans ce domaine en Europe ». En attendant ces recrutements, la quinzaine de chercheurs rwandais travaille d’ores et déjà avec l’équipe strasbourgeoise.










